マルモブレストの設備Equipment
当院にはマンモグラフィ、エコー、CT、骨密度測定装置、胸部レントゲン装置があり、乳腺の初診から乳がん術後の方までフォローできる体制を整えています。
乳腺エコーガイド下の組織検査には、バード™ マグナム™や吸引組織診断用BD EleVation™ バイオプシーシステムを使用しています。
そのほかにも自動血球計数CRP測定装置や、心電図測定装置があるため幅広い診療を行うことが可能です。

乳房専用レントゲン撮影装置(マンモグラフィ)
FUJIFILM 社のAMULET ELITEを2024年9月に採用しました。従来の機種より優しい見た目で、検査時の窮屈さや痛みの軽減を目指した装置です。富士フイルム独自のダイナミック処理によって、少ない放射線量で50μmの高精細画像を抽出でき、乳房の厚みに関係なく微小な石灰化の形状や分布をしっかりと撮影することが可能です。
マンモグラフィとは、腫瘤や石灰化病変等を見つけるのに効果的な乳房専用レントゲン撮影装置で、乳房を圧迫して乳腺を撮影し、しこり・石灰化を見つける事ができます。名古屋市乳がん検診でもこちらの装置を使用します。
- メリット:
乳房の広い範囲を検査可能なため、自覚症状のない病変も早期発見可能。微細な石灰化病変を確認できる。 - デメリット:
乳房を挟むため痛みを伴うことがある、乳腺の発達している20,30代では観察しにくい場合がある


超音波診断装置(エコー)
触診でわかりにくいしこりをみつけるのに効果がある装置です。
乳房に超音波を当て、乳房内部からはね返ってくる反射波(エコー)を画像化して乳腺の状態を調べます。
放射線を使用しないため、妊娠前後の乳腺炎等でも使用可能です。5mm以下の小さい病変も見つける事が出来ます。
精密検査実施時にマンモグラフィの画像を元にして、針生検の際も使用します。
- メリット: 放射線を使わない。小さな病変を発見可能
- デメリット: ピンポイントで診る装置のため時間が掛かる

エコー機器のうち1台をリニューアルしました
GEヘルスケア社のLOGIQ Fortisを2025年5月に導入しました。この機種では近位部から深部に至るまで均一なイメージを提供する全視野・全深度フルフォーカスを実現しています。硬さの分かるエラストグラフィや血流を検知するドプラ機能も標準搭載です。当院では、全てのエコー検査を医師が行い、一緒に画像を見て頂きながら診察を進めます。そのため、異常が見つかった場合、そのまま検査(細胞診や組織診)に移ることが可能です。名古屋市乳がん検診等の精密検査実施時にも使用します。


コンピューター断層撮影装置(CT)
CTとは、身体の周囲からX線を回転しながら照射し、コンピューター処理することで人体の断面像を撮影する装置です。撮影した断面像から3D画像を再構成し、立体的に病変を確認することも可能なため、術前検査などにも使用されます。
- メリット:
一回の撮影で複数の臓器を確認でき、転移の有無も確認可能 - デメリット:
費用が掛かり、検診には向かない

64列CTを導入
FUJIFILM 社製 Supria Optica64列CTを2025年8月に採用しました。従来のCT撮影の再構成処理FBP法と比較し、富士フイルムがAI技術を活用して開発したIPV法によって、少ない被ばく量でも、綺麗な画像撮影が可能となっています。また、以前の16列CTでは胸部撮影に10〜20秒かかっていた息止め時間を5〜8秒の撮影時間に短縮する高速撮影が可能になるため、患者様の検査負担を軽減します。
当院では主に術後の方の再発病変のスクリーニングに使用しています。
また、医師の判断によりマンモグラフィが撮影できない範囲や状況の際に使用することもあります。





*3 モデルオブザーバ法を用いてMITA CT IQファントム(CCT189 、Phantom Laboratory社製)に対して、IPVの強度レベルStrong5を使用して0.625mm厚のスライス厚でテストして得られた結果です。検査対象、患者のサイズ、解剖学的位置、および検査内容によっては、得られる効果が小さくなり得ます。
骨密度測定機
FUJIFILM 社の骨密度測定機のALPHYS Aを2023年12月より導入しています。前腕の骨密度をDXA法により測定します。前腕で測定するため素早く正確に、患者様の負担を軽減しながら正確な骨密度を測定することができます。
当院では、術後ホルモン療法実施時の骨密度の管理のために使用します。また、名古屋市の骨粗鬆症検診のクーポンを使った検査も可能です。

胸部レントゲン
FUJIFILM 社製フラットパネルCALNEO Flowを2025年8月から採用しています。従来のCR装置と比べ、X線を電気信号に変換する際にCRよりも効率よく変換でき、低線量撮影が可能になりました。
また、富士フイルム社の「ダイナミック処理」が従来よりも立体感のある画像を実現しています。この「ダイナミック処理」は可視化すべき人体領域を高精度に認識することで、人体の厚さを推測し、画像の白飛びや黒つぶれしないように、人体構造全体を可視化することで安定した濃度の画像を提供できます。
フラットパネルはX線発生装置から出たX線を受け取り、デジタル画像を描写する装置です。

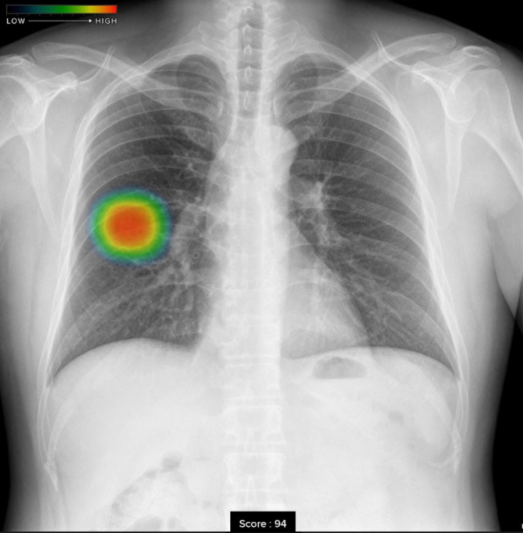
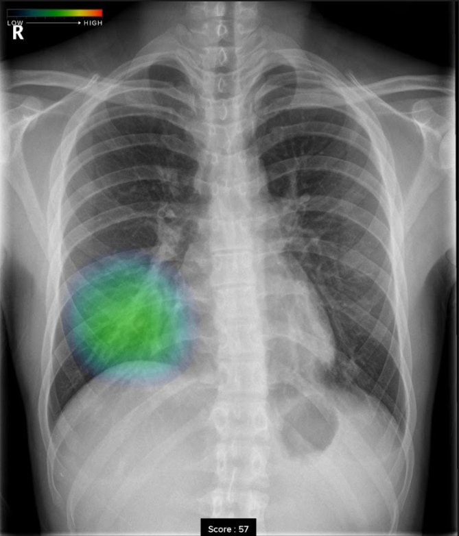
胸部レントゲン用AI(病変検出ソフトウエア)の導入
富士フイルム社製「胸部X線画像病変検出ソフトウェアCXR-AID」を搭載した小型拡張ユニットEX-Mobileを取り入れました。
期待される効果
AI技術と医師によるダブルチェックにより、見落としのリスクを低減。
AI技術を活用して胸部レントゲン画像を自動解析 し、「結節・腫瘤影」「浸潤影」「気胸」といった重要な所見を検出します。
AIが示した領域を医師が再確認することで、見落としを防ぎ、より正確な診断につなげることができます。




