乳腺疾患の検査Inspection
乳腺疾患の診断の流れについて
問診に基づき視触診を行い、マンモグラフィーやエコー(超音波検査)で病変の有無を確認します。エコー検査は医師が直接説明しながら行い、より精度の高い検査を実現しています。病理検査がなければ、当日に結果説明をお伝えいたしますので、一回の受診で済みます。
腫瘍があった場合は良性・悪性の診断をつけるために、穿刺細胞・組織診断といった病理検査を当日行います。(結果は後日)万が一、悪性疾患であった場合も連携病院等に紹介し、術後のフォローアップも経験に基づき当院で的確に行うことができます。
マンモグラフィー(MMG)
乳房専用のエックス線撮影装置で、乳房内に存在するしこりを写し出します。
乳腺は立体的に密集していて、そのままの撮影では重なりが出てしますのでより正確に診断を行うために圧迫しながらマンモグラフィーの撮影を行います。
触知されないような小さな病変を早期発見することも可能なため、定期検診にもマンモグラフィーが導入されています。少ない被曝量でより鮮明に撮影できるデジタル画像診断装置を導入しており、数ミリの小さな病変でも正確に診断可能です。
当院でマンモグラフィーを撮影する放射線技師や、撮影された画像を読影(診断)する乳腺外科の医師はいずれも専門の講習を受け、資格を有しています。
※妊娠・授乳中の方、豊胸術を受けた方、ペースメーカー等を装着中の方はマンモグラフィーの撮影をお断りすることがあります。検診で発見された早期乳がん

検診でマンモグラフィーを撮影したところ、左乳房に小さな石灰化病変が見つかりました。乳癌が疑われ、病理検査を行ったところ初期の“非浸潤癌”と診断されました。
このような小さな病変であれば、最低限の処置(手術等)で済むため体への負担を最小限に抑えることが可能です。小さな病変を見つけるためには定期検診が重要となってきます。
※画像をクリックすると拡大して表示します。
検診目的でマンモグラフィーを撮影したところ 右乳房に小さな病変が見つかりました。
細胞診で乳がんと診断されました。
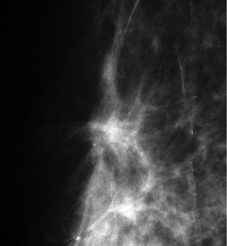
乳がんの典型的なマンモグラフィー

自己触診で左乳房下部のしこりに気づき当院を受診、マンモグラフィーでスピキュラと呼ばれる棘状の突起を伴う典型的な乳がんの影が認められました。このように自己触診をきっかけとして病変が見つかる場合もあるため、違和感を感じたらすぐにご受診ください。
乳房超音波検査(エコー)
超音波により身体のあらゆる部位を観察する事の出来る機械です。胎児の診断に使われるエコーと同様に安全で、患者さんへの身体的影や痛みもないため安心して検査を受けられます。当院では乳房検査専用のエコーを使用し、技師ではなく乳腺外科医が直接検査・説明を行います。
乳房密度が高い40代までの方はマンモグラフィーだけでなく、エコーを併用する事でより小さな病変を発見可能です。
上半身のみ服を脱いでいただき、バスタオルで覆いながら検査いたします。
エコー検査は名古屋市乳がん検診に自費で追加していただけます。
嚢胞(のうほう)

楕円形で、黒い部分が嚢胞(のうほう)と呼ばれる物です。
乳腺の中に袋が出来て液体が貯まっています。円形か楕円形で境目がはっきりしているのが特徴です。
乳がんの典型的な超音波写真

中央の黒い部分が乳がんです。嚢胞に比べると不整形で境界も周囲への浸潤のため不鮮明となります。
早期乳がん

自覚症状がなく定期検診で発見された早期の乳がんです。腫瘍の大きさは5mm以下ととても小さいですが、エコーで 確認しながらの穿刺吸引細胞診により乳がんと診断されました。 良性腫瘍と異なり不整形で、周辺への浸潤のため境界も不鮮明なのがわかります。 マンモグラフィーと超音波検査のどちらが優れているとは一概に言えず、年齢や体型、病状により医師が検査法を選 択します。
マンモグラフィーと超音波検査は外来に来られた当日に行い、その結果も撮影後すぐにご説明いたします。
病理検査
穿刺細胞診・組織診で取り出した腫瘍の成分または全体を顕微鏡で調べ、良・悪性の確定診断を行うのに用います。病理検査をするからといって全ての方が癌という訳ではなく、診療の方針を決めるのに必要なため行われます。病理検査の結果は約1週間でお伝えできます。
穿刺細胞診(せんしさいぼうしん)
エコーで位置を確認しながら、腫瘍に細い針を刺して細胞を採取し、顕微鏡検査で診断します。 針が細く短時間で済み患者さんの負担も少ないため、麻酔なしで行います。
穿刺組織診(せんしそしきしん)
コア針生検と呼ばれる検査法の一種で、細胞診よりも太い針で腫瘍の組織(細胞の集まり)を一箇所切り取る検査 で、局所麻酔を施して行います。癌の確定診断を行う際に必要となります。当院ではエコーガイド下でバード™ マグナム™を使用して行います。
穿刺吸引組織診

針生検と呼ばれる検査法で、通常の穿刺組織診では検査が難しい微小病変や腫瘍を伴わない石灰化病変などの診断に用いられます。一度の検査で複数箇所の組織を吸引採取し、少ない負担でより多くの検体を集めることが可能となっています。
当院ではエコーガイド下でBD EleVation™ バイオプシーシステムを使用して行います。
マンモトーム生検
マンモグラフィ(ステレオ2Dまたはトモシンセス3D)ガイド下で行う吸引組織診です。
エコーでは確認することが難しい小さな石灰化病変などを、マンモグラフィで確認しながら吸引組織診断を行う検査です。
当院では行うことができないため、必要に応じて総合上飯田第一病院乳腺センター等にご紹介いたします。
検査後の処置や結果説明は当院で行います。
血液検査
乳がんに対して行われる血液検査は腫瘍マーカー検査と呼ばれるもので、この検査の数値だけでがんの確定診断を行うことはありません。そのため、主に術後の患者さんに行い、再発や転移の有無の可能性を調べたり、治療の効果を確認するのに使われます。
CEAとCA15-3という2種類の腫瘍マーカーに対して検査を行います。